Co oznaczają plamki na zębach? - Artykuł
Znajdź nas na

Polub Familie.pl na Facebooku

Poleć link znajomym

Co oznaczają plamki na zębach?

Stomatolog wyjaśnia czy przebarwienia na naszych zębach są niebezpieczne i czy mogą przyczynić się do powstawania próchnicy...

Co oznaczają plamki na zębach?

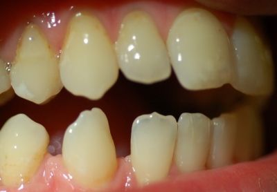
Autor zdjęcia/źródło: Białe przebarwienia na zębach szczęki. Pęknięcia szkliwa na dolnych siekaczach (fot. W. Bereziewicz)

Mam plamki na zębach, ale mój dentysta powiedział, że to zdrowe zęby i nic nie trzeba z nimi robić. Zastanawiam się jednak, czy z tych plamek nie powstaną ubytki - pyta na forum Famnilie.pl jedna z użytkowniczek. Oto wypowiedź stomatologa na ten temat:

Szkliwo zębów jest najtwardszą tkanką organizmu człowieka, która w 98% składa się z substancji nieorganicznych (hydroksyapatytów) i w 2% z substancji organicznych. Pełni funkcję ochronną dla zębiny przed wpływem bodźców termicznych, chemicznych i bakteryjnych. Plamy kredowe zaznaczone szczególnie w okolicy szyjek zębów są zarysem uszkodzeń próchnicowych w stadium początkowym1 (ryc. 1). Po zastosowaniu remineralizacji mogą się cofnąć.1 Jeśli remineralizacja się nie powiedzie, wówczas powstanie ubytek próchnicowy, który należy opracować i wypełnić odpowiednim materiałem.

Próchnica zębów, choroba infekcyjna związana z płytką nazębną, jest procesem patologicznym wywołanym przez czynniki zewnątrzustrojowe (działanie drobnoustrojów na ulegające fermentacji węglowodany dostarczane z dietą).2 Proces próchnicowy składa się z przebiegających naprzemiennie okresów destrukcji i naprawy toczących się przy powierzchni zęba.2 Ślina jest naturalnym systemem chroniącym szkliwo zębów przed działaniem szkodliwych kwasów (np. napojów o niskim pH, takich jak soki owocowe, lub kwasów organicznych produkowanych przez płytkę bakteryjną podczas fermentacji resztek pokarmu). Bakterie płytki z węglowodanów wytwarzają kwasy, co powoduje miejscowe obniżenie pH (poniżej 5,5 = pH krytyczne) i rozpuszczenie (demineralizację) szkliwa (na zasadzie dyfuzji jonów wapniowych i fosforanowych do płytki i śliny).2

Po powrocie pH neutralnego (ślina nasycona jonami wapniowymi i fosforanowymi przyczynia się do dyfuzji uprzednio rozpuszczonych minerałów zęba z powrotem do szkliwa) zmienia się kierunek dyfuzji jonów i występuje remineralizacja (odbudowa/naprawa).2 Powstaje nowa „powłoka” kryształu o budowie podobnej do fluoroapatytu (jest on bardziej odporny na atak kwasów w porównaniu z hydroksyapatytem szkliwa).2 Remineralizacja jest możliwa dzięki wyrównaniu równowagi mineralnej w jamie ustnej. Wiadomo, że niski poziom fluorków ma wpływ na kryształy szkliwa   znacząco hamuje rozpuszczanie substancji mineralnej (np. fluorki w pastach do zębów, płynach do płukania jamy ustnej).2

Przebieg próchnicy jest modyfikowany przez ilość śliny i jej składniki oraz obecność jonów fluorkowych.2 Podsumowując, warto pamiętać, iż miejscowy mechanizm działania fluoru polega na hamowaniu demineralizacji i aktywności bakteryjnej oraz zwiększeniu remineralizacji.2

Dlatego tak ważna jest profilaktyka próchnicy, która powinna się opierać na zmianie nawyków związanych z prawidłowym odżywianiem (wyeliminowaniu cukru z pożywienia, unikaniu pojadania między posiłkami), higienie jamy ustnej (optymalna pielęgnacja to czyszczenie zębów po każdym posiłku, a przynajmniej dwa razy dziennie – rano i wieczorem po ostatnim posiłku), stosowaniu dodatkowych preparatów przywracających równowagę mineralną szkliwa zębów (np. płynne szkliwo GC Tooth Mousse – zawierające kompleks Recaldent CPP-ACP – fosfopeptyd kazeiny – amorficzny fosforan wapnia) lub preparatów z fluorem (stosowane w domu w postaci past np. Fluorożel, Elmex żel z amino fluorkiem, płynów, nici lub stosowane w gabinecie stomatologicznym lakiery np. Duraphat, Fluor Protector) oraz regularnych wizytach kontrolnych u lekarza stomatologa co 6 miesięcy.

Opracowanie:Medycyna Praktyczna  - Lekarze pacjentom

lek. stom. Wioletta Bereziewicz
Zakład Epidemiologii i Badań Populacyjnych IZP CMUJ w Krakowie
Zakład Stomatologii Zintegrowanej IS CMUJ w Krakowie
Europejskie Centrum Profilaktyki w Krakowie

Bibliografia:
1.    Potoczek S.: Stomatologia zachowawcza. Cz. II. Stomatologia Praktyczna 3. Wyd. 1, Urban & Partner, Wrocław 1995: 43
2.    Jańczuk Z.: Stomatologia zachowawcza – zarys kliniczny. Podręcznik dla studentów stomatologii. Wyd. 3 rozszerzone, Wydaw. Lekarskie PZWL, Warszawa 2008: 201 227

TUTAJ ZADASZ SWOJE PYTANIE

EKSPERTOM WYDAWNICTWA MEDYCYNA PRAKTYCZNA