Rodzice uważajcie na siebie! Lekarz pokazał skany płuc młodych ludzi zarażonych koronawirusem - Artykuł
Znajdź nas na

Polub Familie.pl na Facebooku

Poleć link znajomym

Rodzice uważajcie na siebie! Lekarz pokazał skany płuc młodych ludzi zarażonych koronawirusem

Rodzice uważajcie na siebie! Lekarz pokazał skany płuc młodych ludzi zarażonych koronawirusem

Autor zdjęcia/źródło: zdjęcie Youtube/Terzake

Belgijski lekarz pokazał, jak wyglądają płuca ludzi w wieku 20-50 lat zarażonych koronawirusem. To nie jest miły widok…

Dotychczas uważano, że koronawirus największe spustoszenie sieje wśród ludzi starszych. Tymczasem nawet młodzi ludzie w wieku 20-50 lat, muszą na siebie bardzo uważać. Mimo, że koronawirus w tej populacji wiekowej nie powoduje tak dużej śmiertelności, sieje on ogromne spustoszenie w płucach.

Poinformował o tym belgijski lekarz, Ignace Demeyer,  który w trakcie wywiadu dla telewizji VRT poprosił młodych ludzi, aby bardzo uważali na siebie – unikali zgromadzeń, zostali w domu i dbali o mycie rąk i higienę.

To, że są młodzi, nie gwarantuje ochrony przed koronawirusem, ani tez gwarancji lekkiego przebiegu choroby.

Lekarz przytoczył historie wielu pacjentów, którzy trafiają teraz na oddziały wirusologiczne. To młodzi ludzie, nieobciążeni dodatkowymi chorobami, którzy przez pewien czas chorowali  - najpierw około tygodnia w domu z objawami grypopodobnymi i gorączką, a gdy poczuli się lepiej zaczęli wychodzić na zewnątrz.

Po dwóch dniach zazwyczaj trafiali już na oddział z dusznościami i kaszlem – a skany ich płuc były przerażające!

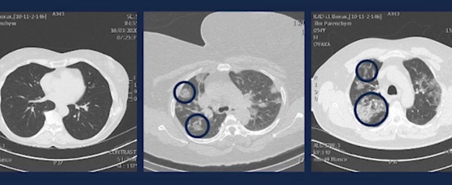
Ignace Demeyer  pokazał prześwietlenia płuc trzech różnych pacjentów z koronawirusem:

  • na pierwszym zdjęciu widać zdrowe płuca,
  • natomiast na drugim widać płyn, który wypełnia od 20 do 25 procent objętości pęcherzyków płucnych,
  • trzecie zdjęcie przedstawia płuca, w których płyn zajmuje już 80-90 proc.,
  • następny skan, to pacjent z zagrożeniem życia.

ZOBACZCIE CAŁY WYWIAD Z LEKARZEM: